Dental Restoration Maroochydore

Women Smiling — Suncoastdental In Maroochydore, QLD

Regain Your Smile

Are your teeth in need of some professional care and love? The qualified dentists and hygienists working out of SunCoast Dental can help to restore the function and appearance of your natural teeth. In a perfect world, people all wish to have beautiful, pearly white teeth that can last a lifetime. However, the reality is that our bodies change naturally over time. And as people age,  teeth become more susceptible to dental issues, as the loss of bone mass, periodontal diseases, poor oral hygiene and unpredictable accidents can all cause teeth to not function like they used to.

If you’re experiencing more frequent dental issues, whether it’s requiring more fillings, tooth discolouration or root canal treatment, speak to SunCoast Dental to discuss what dental restoration treatment can be provided for you. Your dentist can provide a comprehensive consultation to discuss the most appropriate treatments for you. This will include a detailed, written treatment plan that includes your options, costs and expected outcomes.

What Is Dental Restoration?

If you’re looking for long term, preventative measures to protect your teeth, enquire about SunCoast Dental, dental restoration service today. This service is designed to restore a tooth as close as possible to its original form and function, so that it not only looks great, but can functional normally, allowing you to eat, speak and smile with no issues. Particularly helpful for patients with missing, decayed, weakened or fractured teeth, your dentist will be able to provide tailored solutions that can assist in providing structural strength and prevent, or minimise the effects of future oral complications.

Common dental restoration services include fitting your teeth with crowns, bridges and veneers. If this sounds like something that you require on a day to day basis, don’t hesitate to schedule an appointment today. SunCoast Dental will assess your condition and recommend an ideal solution. For your convenience, SunCoast Dental also offer a wide range of payment options, including HICAPS that can process health fund contributions on the spot. Speak to the clinic today for more information!

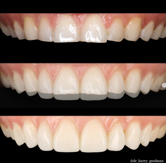
Dr Harry Goodman - Composite Veneer
Dental Implant — Suncoastdental In Maroochydore, QLD

Dental Crowns & Bridges

Dental crowns are used to enhance the appearance and restore the shape and size of the tooth. Ideal for patients who have damaged or weakened teeth, a crown can be placed on top of the tooth, or over a dental implant. Not only does it look natural, but most importantly, it sits comfortably in your mouth, allowing you to eat and speak as normal.

Dental bridges, or fixed partial dentures, are commonly used by patients who have a gap in their jaw, as a result of permanent tooth loss. Bridges can be anchored on either side by crowns to restore overall appearance and chewing ability.

What Are Veneers?

Veneers are wafer-thin ceramic slices used to cover chipped, worn down, discoloured or misaligned teeth. Fabricated from either porcelain or composite resin, a dental veneer can conceal any imperfections, giving you the uniform appearance of straight, beautiful teeth. Unlike crowns or bridges, veneers are more suitable for patients who do have structurally sound teeth but wish for improved appearance. Whereas crowns and bridges are designed to bring integrity and strength back into the jawline.

Dental Veneer Installation Procedure — Suncoastdental In Maroochydore, QLD
07 5443 3500